"How pleasantly surprised I was to be pain free after the implant procedure. I thought I would be in a lot more pain than I actually was. I did not feel any pain during the procedure and did not need pain medication after the surgery, the entire process was painless..."
There are several causes of missing teeth. Most people experience tooth loss because of old age. This is because the muscles in our jaws weaken, which leads to teeth loss. Decaying tooth also plays a major part in missing teeth because they have to be extracted so as not to infect other teeth. Gum diseases, periodontitis, gingivitis, and poor nutrition also contribute to tooth loss. Thankfully, missing teeth can be replaced by a skilled dentist. In Los Angeles, dental implants are the most contemporary means with which we can replace missing teeth.
There are many consequences to losing a tooth. Aside from the disfiguring look and awkward smile, your teeth that are adjacent to that area start moving and invading that space. Over time, the tooth from the opposing arch can migrate into that space, giving your face a crooked look. By consulting a dentist, Los Angeles residents can avoid having an asymmetric smile.
Tooth loss can also affect your speech. Our teeth and lips work together to enable us to pronounce words, phrases, and sentences properly. With missing teeth, you would have trouble with your pronunciation. Missing teeth can also affect your teeth’s function. By acquiring the services of a quality dentist in Los Angeles, dental implants will enable you to chew and grind your food properly.
Dental implants can also greatly improve your self-esteem. In having teeth restorations done by a dentist, Los Angeles dental patients will not only improve their appearance, but their confidence as well.
In the past, our profession used to fabricate bridges to overcome this tooth loss. The detriment to that approach was that you would have to involve teeth adjacent to the area and prepare them to accommodate the appliance.
That approach has now changed. Over the last two decades, our profession has made significant advances. A dentist in Los Angeles now places an implant into the site that has the missing tooth. Once that is healed, we simply seat an abutment (post) and then fabricate a crown (cap) on top of that. Implants have dramatically improved life stylesfor both patient and dentist. Los Angeles dental patients, particularly the ones who have had multiple missing teeth, can now chew their food more comfortably.
We would like to share an experience with one of our patients who had struggled through her adult life with dentures. We simply placed two implants in her lower jaw that kept her dentures in their place and her life style dramatically changed after that. She can function and be confident now like she never could before.
Watch the video to see how the dentures are secured to two dental implants!
Before and After Pictures
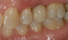
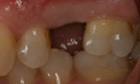
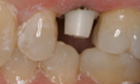
The above images demonstrate the sequence of events for replacing a single missing tooth with a dental implant. The implant fixture is placed and allowed to heal, then a post or abutment is seated, and then a final crown is placed on top.
Dental Implant Images
Before and After Pictures
Type 1
Type 2
Dental Implants Case
Cone Beam 3D Volumetric Scanning
At Dr. Saoji, we have always incorporated the most technologically advanced equipment so that we can offer our patients the highest standard of care possible.
Cone beam 3D x-rays have had a large impact in the last few years on our profession. For replacing missing teeth, nothing serves the patient’s best interest more than imaging the area with this technology. It allows us to accurately measure the exact thickness and height of bone available for placing a dental implant! See video below for a detailed explanation. We are so confident and impressed with the accuracy of this approach, we have implemented a complimentary screening consultation for anyone interested in restoring missing teeth in their mouths. The regular fee for the screening is $450. This fee is waived if you pursue treatment with us . If you wish to seek treatment elsewhere, we will be happy to forward the scans for the original cost of the scans.